Avlsfilosofi
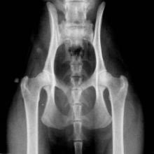
Helse er av høyeste prioritet, og derfor tester jeg utover det som er pålagt for oppdrettere i NRR. Jeg har fokus på primært HD og noe HCM, og røntger mine avlsdyr før eventuell paring.
I tillegg liker jeg å kartlegge kattenes DNA, og benytter meg derfor av MyCatDNA i Finland som pr dags dato gir den grundigste oversikten av kattens gener og arvelige sykdommer.
Kattenes gemytt er selvsagt også tungt vektlagt i oppdrettets avlsarbeid.
Jeg ønsker å avle fram sunne og friske katter, med det typiske gemyttet og temperamentet, samt få fram det rasetypiske utseendet ihht standarden såklart.
Mål
Når det kommer til beslutningene over hvilke katter jeg kombinerer så er det en rekke mål jeg jobber for å oppnå, både for rasen i sin helhet men også i mindre skala som innad i oppdrettet.
Det beste er selvsagt om jeg oppnår flere mål i samme kombinasjon, men i hovedsak vurderes enhver paring opp mot disse kravene:
- bedre helse, sunne og friske katter.
- senke verdiene av innavl, være seg totalinnavl, foundation og/eller kloner.
– innavlsverdiene til avkom skal ikke overstige foreldrenes. - bevare det trygge, trivelige og rasetypiske temperament og gemytt.
- bevare og bedre typen ihht til standard.
- en eller flere avkom fra kullet vil bli vurdert til videre avlsarbeid.
Kattenes verdi
Mine katter er først og fremst familiemedlemmer. Det vil si at deres helse og velbefinnende er av høyeste prioritet. Det er viktig at hver katt får rom og tid til å være seg selv, være et individ, ha sin personlighet og får den oppmerksomhet og det stellet de trenger og fortjener.
Jeg kommer derfor til å benytte meg av fôrverter for at kattene skal få det hjemmet, den plassen, tiden, omsorgen og kjærligheten de fortjener, og ikke risikere å bli en i mengden her hos meg.
– katter er tross alt ikke flokkdyr, skjønt noen er mer sosiale og tolerante enn andre.
Sider: 1 2
Kategorier:Aarracat's


